Protetica dentara
Protetica dentara
Reface arcadele dentare prin diverse lucrari protetice fixe sau mobile:
– coroane si punti dentare metaloacrilice, composit, ceramice, pe metal ori zirconiu, sau integral ceramice
– inlay, onlay – ceramice
– coroane si punti pe implanturi
– proteze mobile acrilice, composit sau cu garnituri dentare ceramice
– proteze scheletate
– supraprotezari pe radacini dentare sau implanturi







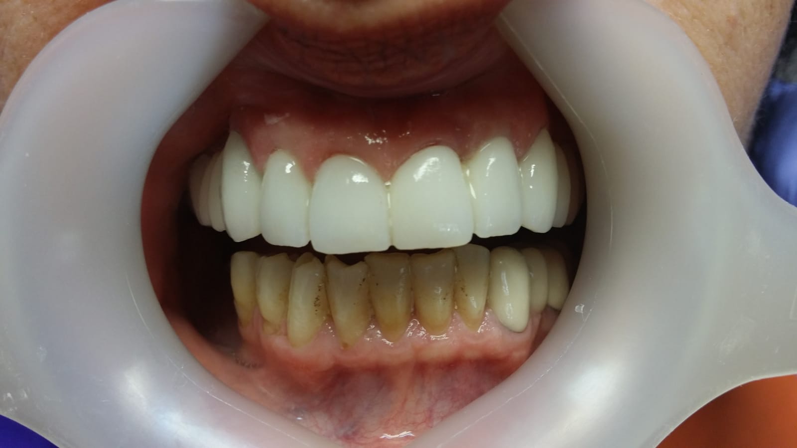
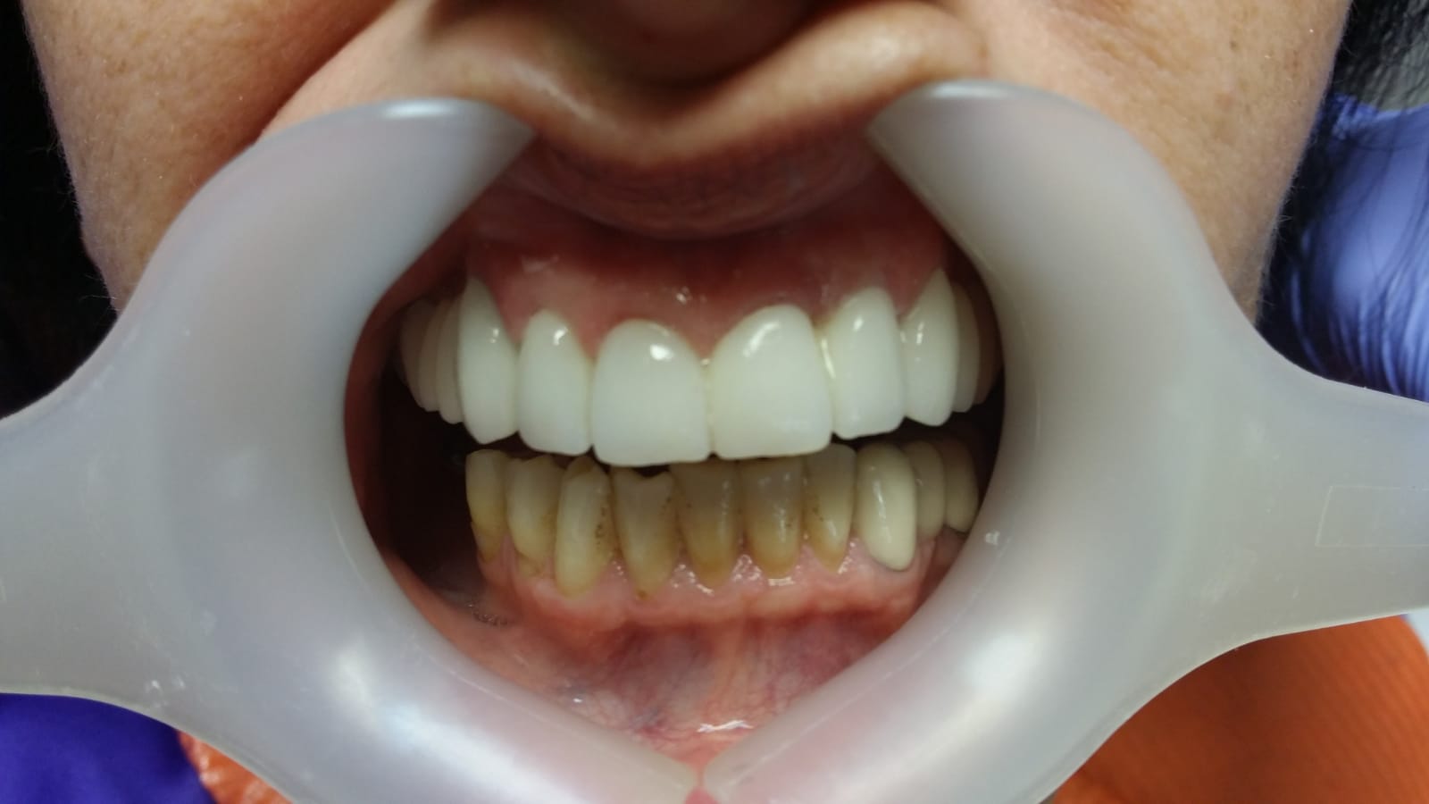
Punte metaloceramica total fizionomica maxilar


Incrustatii dentare


Proteza dentara scheletata




Coroane metaloceramice







