IMPLANTURI DENTARE
Implanturi dentare
Implanturile dentare sunt radacini artificiale din titan pe care se vor construi viitorii dinti. Ele se insera in osul alveolar ramas in urma pierderii dintilor.

Avantajele tratamentului prin implant dentar
-Confortul pacientului in cazul tratamentului prin implant dentar se apropie cel mai mult de confortul oferit de un dinte natural
-Inlocuieste radacina dintelui, fapt care ajuta la mentinerea nivelului osului in limite estetice si functionale optime
-Imbunatateste masticatia, fonatia, fizionomia
-Implantul dentar este rezistent si durabil

Implant dentar Fast & Fixed ( dantura fixa intr-o zi )
Sistemul de implaturi fast&fix ajuta pacientul sa-si recapete zambetul in mai putin de 24 ore
Pacientului i se insereaza implanturile dentare pe care se fixeaza lucrarea dentara (presupune extractie,implantare si realizarea lucrarii fixe imediat)
La finalul sedintei ,pacientul paraseste clinica cu implanturi si dinti ficsi, fiind capabil sa se reintoarca imediat la viata sociala

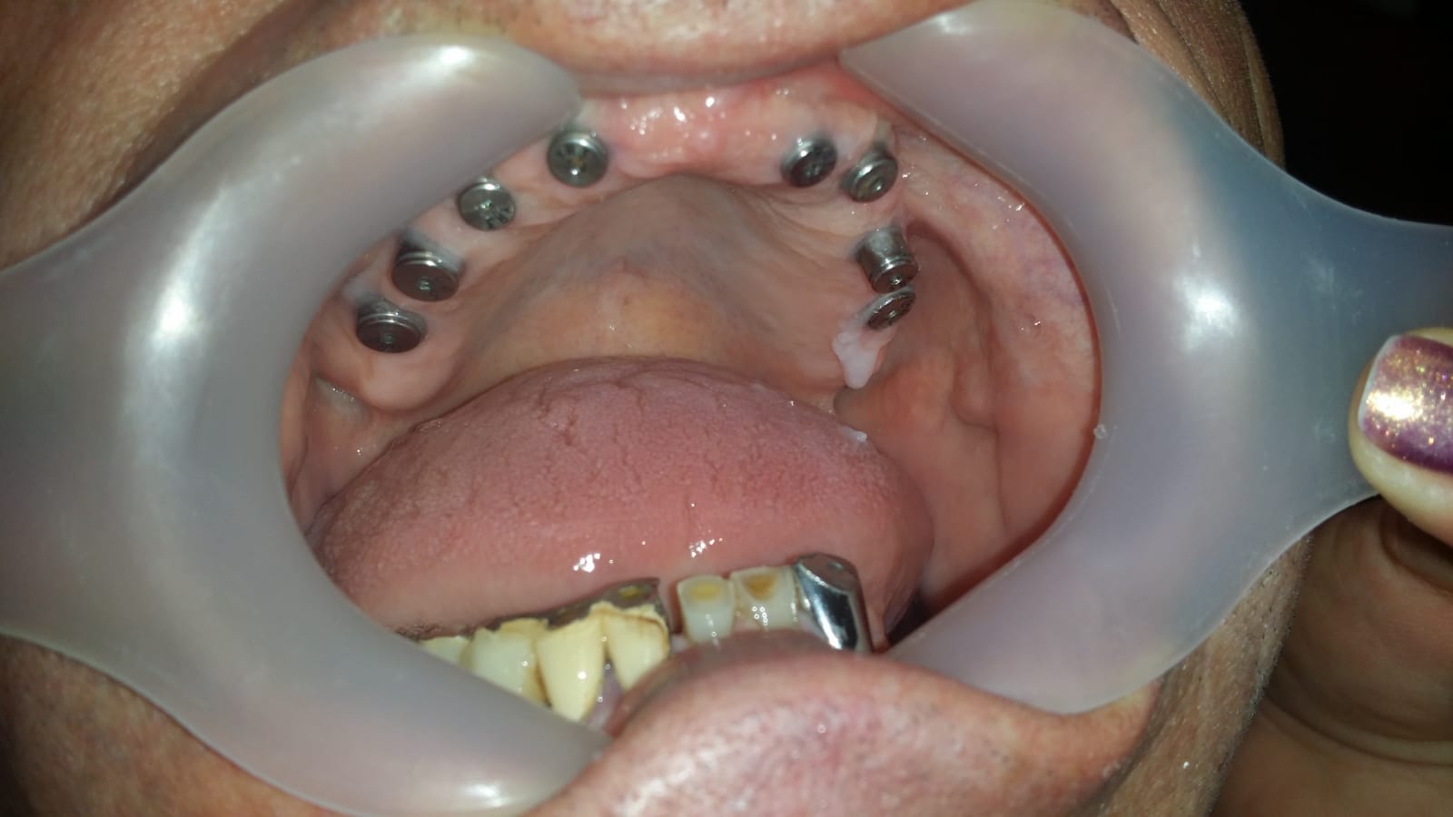
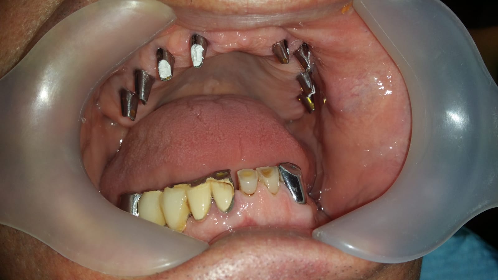
Punte realizată pe 4 implanturi dentare la mandibula și 6 implanturi la maxilar All in One

Punte fixa provizorie realizată la mandibula în 24 ore, pe 4 implanturi dentare



Reabilitare mandibulara pe sistem Fast and Fixed in 24 ore


Reabilitare pe implanturi dentare



Fast and fixed definitiv




Fast and fixed provizorii













Punți metaloceramice total fizionomice pe implanturi












Punti totale pe implanturi




Regenerare osoasa cu GTO