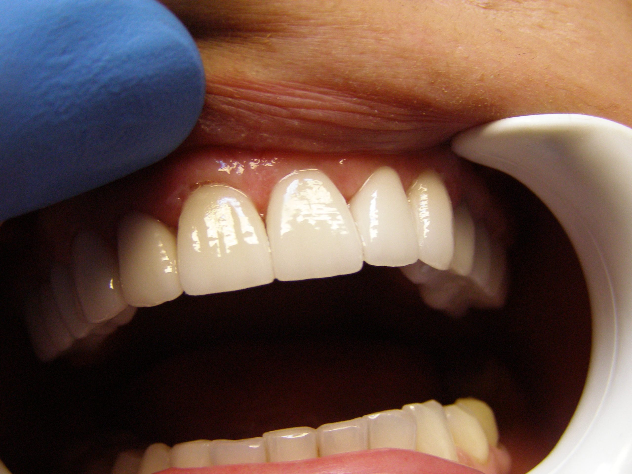
Estetica dentara
Estetica dentara
Are un rol din ce in ce mai important in viata sociala. Asigura un comfort psihic pacientului redandu-i zambetul.
Realizam acest lucru prin:
– lucrari protetice (coroane, punti)
– fatete dentare din compozit prin tehnica directa
– fatetari ceramice
– albiri dentare




















